【中山医“声”】痛如刀割,带状疱疹性神经痛来袭,医生微创治疗迅速止痛
发布时间:2021-12-16 来源:疼痛科二病区
“爹爹,今天还疼不疼啊?”
“不疼、不疼
昨天晚上我终于睡上了安稳觉
谢谢杨主任!”
11月23日,湖北省第三人民医院(湖北省中山医院)疼痛科二病区内,科主任杨庆红正在查房,71岁的李爹爹没想到,让自己痛不欲生的疼痛经杨主任一个微创手术就顺利止住,开心的他连连向杨庆红主任表示感谢。

家住汉南的李爹爹,一个月前患上了颈部带状疱疹,在当地医院皮肤科行抗病毒治疗后疱疹消退,但颈部原疱疹区域出现了神经痛,疼痛呈阵发性刀割样,每每发作时疼到李爹爹直想撞墙,尤其是到了晚上,更是疼的无法安睡,再加上李爹爹本身患有慢性阻塞性肺病,剧烈的疼痛导致他喘气加重,呼吸困难,身体每况愈下。
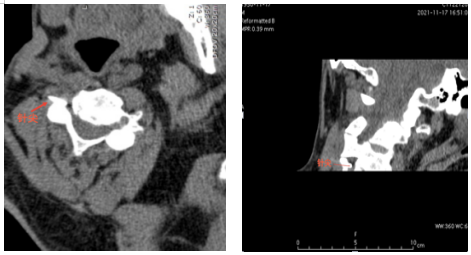
经人介绍,李爹爹来到了湖北省第三人民医院疼痛科二病区就诊,杨庆红主任经过查体后诊断其为带状疱疹性神经痛,疼痛范围为颈丛神经分布区域。李爹爹住院后,医生予以口服普瑞巴林胶囊及泰勒宁止痛,但效果不佳,后进行了超声引导下颈丛神经阻滞,但效果维持时间不长,最终杨庆红主任决定为患者施行CT引导下颈丛神经脉冲射频微创手术。但李爹爹本身是一位肝硬化患者,胸壁静脉及颈部静脉怒张,再加上颈部本身结构复杂,存在多根大血管,容易引起出血。

为了确保手术安全顺利进行,术前杨庆红主任组织科室充分讨论病例,制定了详细的手术方案。11月21日,在放射科主管技师胡卫的协助下,杨庆红主任带领疼痛科医生李圣洪在CT引导下找准穿刺路径、角度及深度,为李爹爹实施了颈丛神经脉冲射频微创手术,术后当晚,李爹爹就感觉疼痛明显缓解,人也轻松了一大截。目前患者疼痛控制良好,几乎没有疼痛。

李爹爹向医护人员点赞致谢
杨庆红主任表示,带状疱疹性神经痛是带状疱疹病毒感染后引起受累区域出现自发性针刺样、刀割样、烧灼样异常剧烈疼痛,或伴有局部痛觉过敏,痛觉超敏,是一种典型的神经病理性疼痛,严重影响患者日常生活。目前口服普瑞巴林胶囊或加巴喷丁胶囊等药物依然是治疗带状疱疹性神经痛的基础,如口服药物效果不佳,还可施行神经阻滞、脉冲射频微创手术,严重顽固性疼痛还可以采用脊髓电刺激治疗。(文:李圣洪、汪丽)

扫描二维码