【中山医“声”】跛行三年无法正常走路,医生手术助患者告别马蹄足
发布时间:2024-09-27 来源:骨外科
“高主任,太感谢了,要知道手术能治好我的马蹄足,我早就过来啦,现在能正常走路,我真的太高兴了。”近日,做完马蹄内翻矫正手术的38岁文先生非常高兴,在医生查房时连连向高主任表示感谢。
3年前,文先生因外伤致右侧胫骨平台骨折及腓总神经损伤,在恢复得后期右足逐渐出现马蹄内翻畸形伴活动受限,继而发展成右足下垂、走路跛行、疼痛不适。从正常人变成现在无法正常行走,这给文先生的生活带来了极大的困扰和沉重的心理负担。

专家为患者查体
经人介绍,文先生一家来到湖北省第三人民医院(湖北省中山医院)骨科寻求帮助。通过查体和相关检查,为恢复下肢力线,纠正畸形,降低远期创伤性关节炎风险,医生决定为文先生实施右足畸形矫形手术治疗。
由于文先生右足畸形已有三年,手术有一定的难度,科主任王显勋组织科内进行病例讨论,为患者制定详细的手术方案。

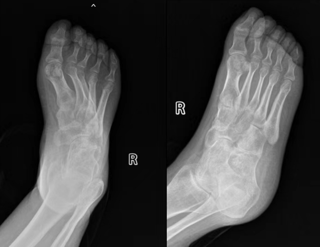
手术当天,骨外科副主任曾舸、高春生用时两个小时为患者顺利实施手术,患者平安返回病房。复查X线片显示,患者马蹄内翻已完全矫正,以后可以正常行走了。

术前X线片

术后X线片
术后,护理团队精心指导患者进行功能锻炼,预防其他并发症发生。文先生非常配合康复,他笑说:“我已经迫不及待想快点走路了。”
【健康科普】
什么是马蹄内翻足?有哪些临床表现?
马蹄内翻足是一种足部畸形,临床表现为前足内收、后足内翻、尖足畸形,患者在走路的时候足尖先着地而后足跟着地或用足尖着地负重行走,马蹄足对患者肢体外形功能与身心影响非常大。
马蹄内翻足的病因
1、上位神经损伤:痉挛性为主,后期导致挛缩。脑瘫后遗症、脑血管意外(中风)、颅脑损伤、脊髓损伤。2、下位神经损伤:麻痹性为主,后期导致挛缩。脊髓灰质炎(小儿麻痹后遗症)、脊髓肿物压迫、坐骨神周围神经病变、CMT(腓骨肌萎缩症)经、腓总神经损伤。3、创伤性损伤:胫腓骨骨折后小腿后侧深筋膜室综合征,渐进性发展至僵硬的高弓内翻足并爪形趾畸形;胫后趾长屈、踇长屈肌纤维化挛缩;烧伤外伤疤痕挛缩、骨折后疏于功能锻炼导致非功能位挛缩。4、先天性马蹄内翻高弓足:是常见的足部先天性畸形,发病率约为0.1%。5、中枢神经系统先天畸形:脊柱裂、脊髓栓系综合征导致的马蹄内翻足畸形。
如何早期发现马蹄内翻足?
马蹄足内翻可以通过观察外观和步态来发现,病人在走路时前脚掌着地,脚后跟不着地,步态跳跃;外观上脚后跟的筋很紧,无法背伸到90度,脚自然呈现内翻状态。符合以上情况即可判断为马蹄足内翻。
【专家简介】

王显勋
骨外科主任 主任医师
从事骨科临床达二十余年,擅长各种关节疾病的诊治和骨折微创手术。在治疗膝关节骨性关节炎、滑膜炎、股骨头缺血性坏死、风湿类风湿性关节炎、肩周炎、肩袖损伤、骨折、骨不连等有丰富的临床经验。精通多领域的手术,全膝、全髖关节置换、膝关节单髁置换、关节镜下韧带重建、半月板缝合、肩袖重建、脊柱微创内固定,骨不连、骨坏死的修复重建,各种创伤、骨折的微创内固定手术等,潜心研究骨科微创,在微创手术领域颇有造诣。精通骨质疏松的多维度治疗。
专家门诊时间:周一全天

曾舸
副主任医师
学术兼职:中华医学会骨科分会足踝学组青年委员、中国糖尿病足联盟委员、中国人体健康科技促进会糖尿病足专业委员会委员、湖北省运动人体科学研究会骨科专业委员会委员、湖北省骨内科学组委员、武汉医学会手外科学分会委员
诊疗专长:从事骨科专业临床及教学工作二十余年,在运动损伤及手足显微外科等方面有丰富的临床经验,擅长关节疾病及运动损伤的微创诊治,复杂手部畸形、外伤处理,足踝创伤、足病,慢性溃疡及创面的修复治疗,糖尿病足的治疗等。
学术成果:参编医学著作数本,在SCI、国家级及省市级医学杂志发表学术论文十余篇。
门诊时间:周三下午、周六上午专家门诊

高春生
副主任医师
学术兼职:中湖北省第一届骨科内镜分会委员、国医药教育协会骨病老年骨创伤分会委员
诊疗专长:从事脊柱外科和创伤骨科方面的临床工作十余年,对颈椎病、腰椎间盘突出症、腰椎椎管狭窄症、椎间盘源性腰痛、腰椎滑脱、脊柱骨折、脊柱肿瘤、脊柱侧弯、髋关节疾病、四肢骨折等疾病的诊治较为擅长。承担本科生理论教学、临床带教、住院医师规范化培训、卫生应急保障等多项工作。
学术成果:发表SCI、中文核心期刊论文十余篇,主编论著5部。
门诊时间:周二上午、周五下午
(文:方莹、肖念)

扫描二维码